Versatile. Esthetic. Strong.

Introducing Evanesce® Injectable the next-generation flowable composite ideal for the injection molding technique, providing excellent handling and esthetic properties

Versatile Applications

Excellent Esthetics

Reliable Strength

SPECIAL PROMOTION

Buy 2, Get 1 FREE!

Promo valid until June 30, 2026

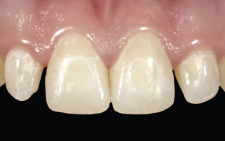
Before

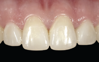
After

Dentistry and photography courtesy of Jennifer Bell, DDS, MAGD, FICD.

Versatile Applications

With exceptional stackability, control, and adaptation, Evanesce Injectable is ideal for the injection molding technique as well as traditional flowable indications.

Reliable Strength

Achieves greater fracture toughness than the leading injectable composite1, while maintaining non-slumping, stackable handling properties required for injection molding placement.

Excellent Esthetics

Offered in 6 shades, including 4 that are designed to match the VITA classical A1-D4® shade guide, Evanesce Injectable makes shade selection easy.

Fast, High Gloss Polish

All Evanesce Injectable shades provide a fast, high gloss polish and mimic the appearance of natural dentition.

Technical Profile

Proud Distributor of: 

Clinical Research Dental

© Copyright 2026 - Clinical Research Dental Supplies and Services Inc. All Rights Reserved