Natural Esthetics Made Simple

The Evanesce® Effect

Simple or complex. Single shade or layering technique, anterior or posterior. Whatever your technique or indication, Evanesce® Universal Restorative is designed for truly natural, life-like esthetics.

Strong. Simple. Beautiful.

A truly universal composite, Evanesce provides exceptional handling, making all cases easier to perform.

"Developing detailed morphology on anterior restorations is easier with Evanesce due to its no slump handling."

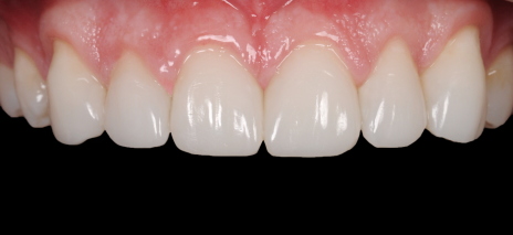
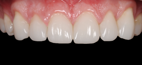
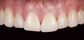
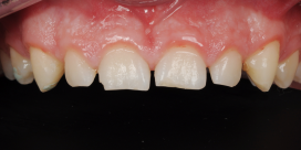
Case: Anterior Build-Up & Shade Change

Shades: Evanesce BL3 and Enamel White

Dentistry and Photography courtesy of Marcos Vargas, BDB, DDS, MS

"The Evanesce system rivals the esthetics of porcelain restorations and mimics the beauty of natural tooth structure"

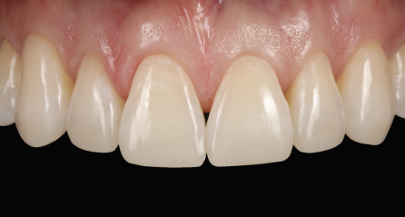
Case: Class IV Composite Restoration

Shades: Evanesce Enamel FX Incisal, A1 Dentin, B1 Enamel

Dentistry and Photography courtesy of David Chan, DMD, AAACD

"Restorations designed with ideal anatomy and contour require much less post-operative adjustments and modifications."

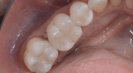
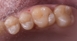
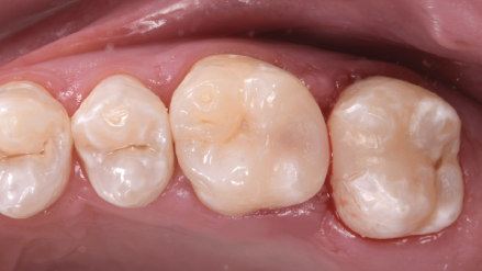
Case: Class II Restoration Protocol Using a Sectional Matrix System

Shades: Evanesce A3U

Dentistry and Photography courtesy of Devin McClintock, DDS

"Evanesce was selected as the restorative composite for its high flexural strength vital to this application, its handling characteristics and Evanesce’s ability to blend in seamlessly into the surrounding tooth structure."

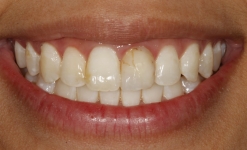
Case: Conservative Approach to Restoring the Worn Anterior Dentition

Shades: Evanesce A2D and Evanesce FX non-Vita shade Enamel Incisal
Dentistry and Photography courtesy of Newton Fahl, DDS, MS

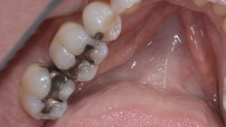
Case: Class II

Shades: Evanesce A2UX

Dentistry and Photography courtesy of Fred Peck, DDS, FAACD

Distributed in Canada by: 

Clinical Research Dental Supplies and Services Inc.

All Rights Reserved © Copyright 2026